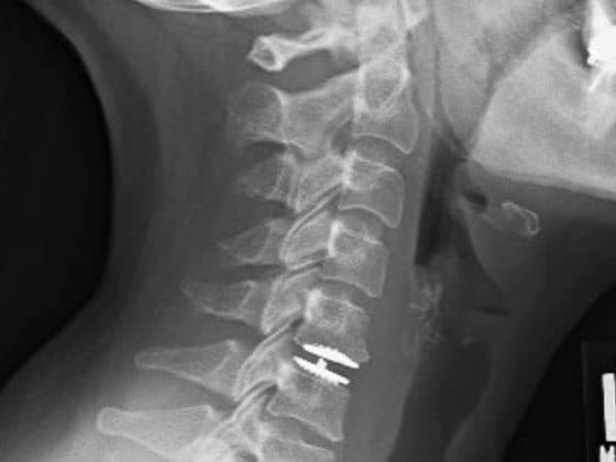
The surgeon makes a small incision in the front of the neck. The damaged disc is removed, and an artificial disc, typically made of metal and plastic, is inserted into the empty space between the vertebrae. Unlike fusion surgery, which locks the vertebrae together, the artificial disc is designed to mimic the natural motion of the spine. This can potentially reduce stress on the adjacent discs, lowering the risk of future problems.

Cervical Disc Replacement
Cervical disc replacement is a surgical procedure for the neck that replaces a damaged spinal disc with an artificial one. This surgery is a modern alternative to spinal fusion for treating degenerative disc disease, a herniated disc, or other conditions causing chronic neck pain or arm pain, numbness, or weakness. It can offer quicker recovery, less post-operative limitations and retain some of the motion of the spine when compared to a fusion procedure.