


Cutting-Edge Techniques
Endoscopic, motion-preserving, and minimally invasive treatments.

Board-Certified Spine Surgeon in Merrillville, Indiana
Dr. Nicholas Wallace is a board-certified orthopedic spine surgeon specializing in advanced spine treatments and motion-preserving techniques. With over a decade of training and experience, he is dedicated to helping patients regain mobility, reduce pain, and return to the life they love.
Procedures We Offer
See AllI'm committed to advancing the practice of spine surgery through research and practicing evidence-based medicine. Throughout my years of training, I published several peer-reviewed scientific papers and remain actively involved in international spine societies.
Nicholas Wallace, M.D.
Orthopedic Spine Surgeon
Conditions We Treat
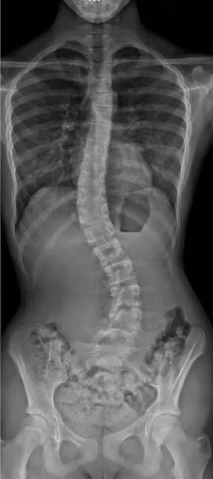
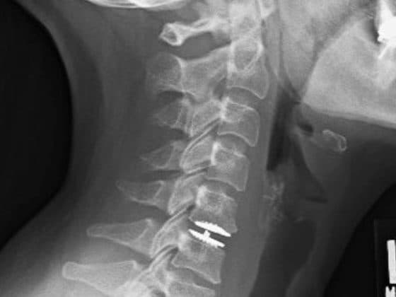
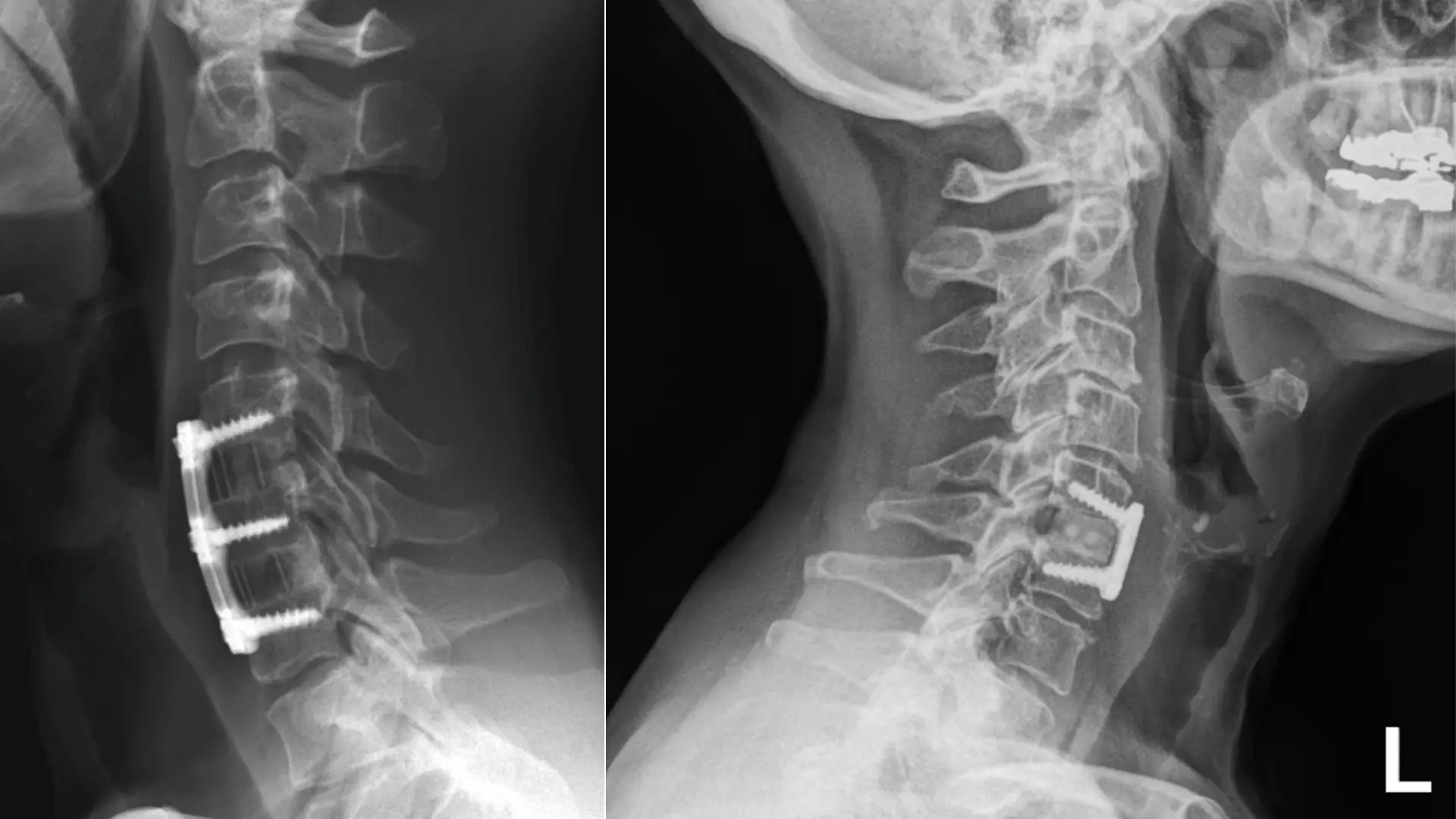
See AllMichael's Story
Meet one of your Northwest Indiana neighbors who has recovered his quality of life thanks to Dr. Wallace’s care and expertise.
Words of praise from our patients
“
Dr. Nicholas Wallace is an outstanding spine surgeon known for his professionalism, skill, and compassionate care. He takes the time to listen, explain options clearly, and guide patients with integrity. Most importantly, he does not recommend surgery unless truly necessary.
G
Google Review
“
This was my first visit to see Dr. Wallace. The building was nice, and the staff was very kind. The lady who went over my health history was helpful, and Dr. Wallace came right in just as promised.
John
Google Review
“
I was very nervous, but Dr. Wallace put me at ease. He was thorough, seemed to genuinely care, and was very professional. I also appreciated that he was punctual.
Shirley Griffin
Google Review
“
After seeing many spine doctors, I can say Dr. Wallace is one of the best. I’ve been dealing with spinal issues for years, including a herniated disc, and he gave me relief.
Veronica Lamlech
Google Review
“
Just had surgery done by Dr. Wallace and I feel great. He’s not only a very good doctor but also a very kind person. His staff is excellent. I highly recommend them.
David Perez
Google Review
“
Dr. Nicholas Wallace is an outstanding spine surgeon known for his professionalism, skill, and compassionate care. He takes the time to listen, explain options clearly, and guide patients with integrity. Most importantly, he does not recommend surgery unless truly necessary.
G
Google Review
“
This was my first visit to see Dr. Wallace. The building was nice, and the staff was very kind. The lady who went over my health history was helpful, and Dr. Wallace came right in just as promised.
John
Google Review
“
I was very nervous, but Dr. Wallace put me at ease. He was thorough, seemed to genuinely care, and was very professional. I also appreciated that he was punctual.
Shirley Griffin
Google Review
“
After seeing many spine doctors, I can say Dr. Wallace is one of the best. I’ve been dealing with spinal issues for years, including a herniated disc, and he gave me relief.
Veronica Lamlech
Google Review
“
Just had surgery done by Dr. Wallace and I feel great. He’s not only a very good doctor but also a very kind person. His staff is excellent. I highly recommend them.
David Perez
Google Review
“
I highly recommend Dr. Wallace. He explains the pros and cons of surgeries and prefers trying other options before suggesting surgery. Truly honest and professional.
Ellie Kaye Brown
Google Review
“
Dr. Wallace did an amazing job on my back surgery! The pain I had prior to surgery is gone completely. I give him a perfect 10 out of 10!
Lisa Duncan
Google Review
“
Dr. Wallace listened to my concerns and complaints about my health and gave me his professional opinion and advice. Thank you very much Dr. Wallace.
Brenda Williams
Google Review
“
Dr. Wallace is an amazing doctor—he gave me my life back. I'm so grateful to have him as my doctor. If I could, I'd give him 100 stars.
Kristy Trappani
Google Review
“
Dr. Wallace took time with me and really listened. He clearly mapped out a plan to fix a painful issue I had for years. He began helping me right away.
Alm Haney
Google Review
“
I highly recommend Dr. Wallace. He explains the pros and cons of surgeries and prefers trying other options before suggesting surgery. Truly honest and professional.
Ellie Kaye Brown
Google Review
“
Dr. Wallace did an amazing job on my back surgery! The pain I had prior to surgery is gone completely. I give him a perfect 10 out of 10!
Lisa Duncan
Google Review
“
Dr. Wallace listened to my concerns and complaints about my health and gave me his professional opinion and advice. Thank you very much Dr. Wallace.
Brenda Williams
Google Review
“
Dr. Wallace is an amazing doctor—he gave me my life back. I'm so grateful to have him as my doctor. If I could, I'd give him 100 stars.
Kristy Trappani
Google Review
“
Dr. Wallace took time with me and really listened. He clearly mapped out a plan to fix a painful issue I had for years. He began helping me right away.
Alm Haney
Google Review

Stay Strong and
Proactive
with your spine health
Take the first step toward better spine health.
Schedule Your Consultation

























