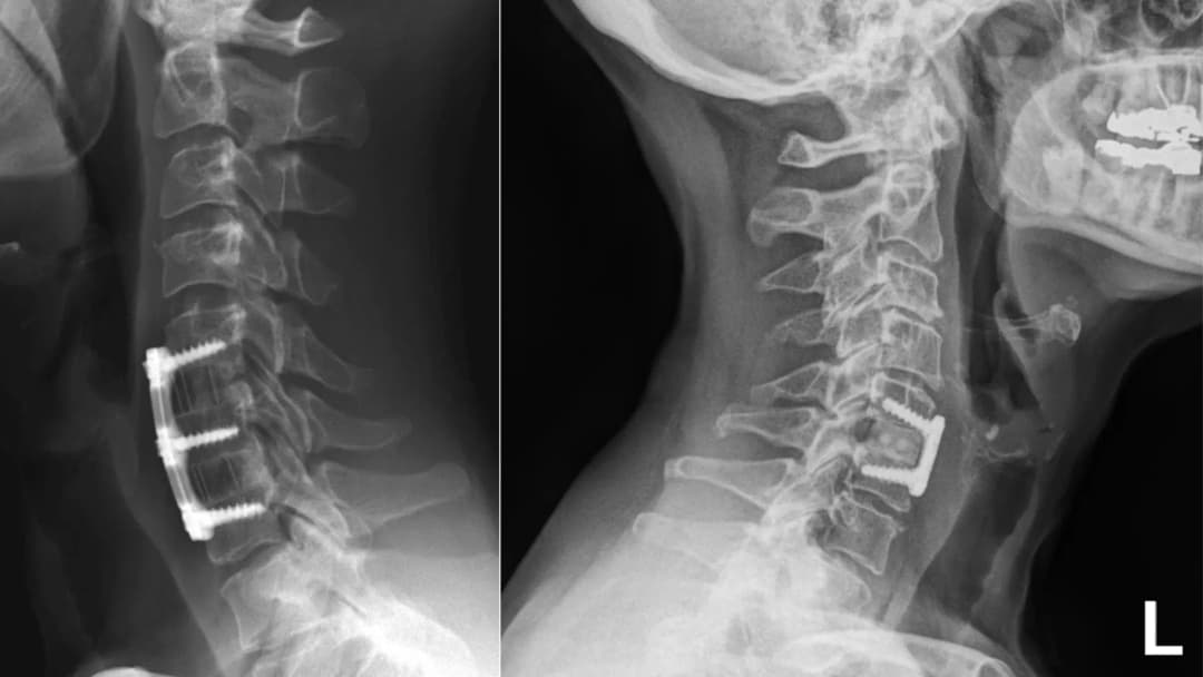
During the procedure, the surgeon makes an incision in the front (anterior) of the neck to access the spine by delicately working around the important structures contained in the neck. They then carefully remove the damaged or herniated disc that is compressing the nerves. After the disc is removed, the space between the vertebrae is filled with a special cage made of titanium or bone graft. This acts as a bridge, promoting a fusion, where the two vertebrae eventually grow together into a single, stable bone. A small plate and screws are often used to hold everything in place while the fusion occurs. While the bone is healing, a cervical collar is worn to help stabilize the neck and provide comfort for the muscles.

Anterior Cervical Discectomy and Fusion (ACDF)
Anterior Cervical Discectomy and Fusion (ACDF) is a common surgical procedure used to alleviate nerve and spinal cord compression in the neck (cervical spine). By relieving the pressure on the spinal cord or nerve roots, the associated pain, numbness, tingling, or weakness in the arms and hands can resolve.